Radiologia digitale 3D
Radiologia
L'indagine radiologica è molto spesso necessaria per fare una diagnosi precisa e completa. Presso il nostro studio questa viene svolta esclusivamente con apparecchiature digitali di ultima generazione che garantiscono immagini di ottima qualità con una esposizione alle radiazioni minima.
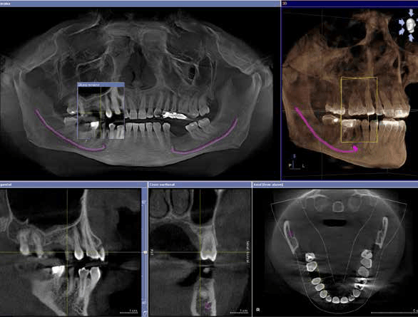
Inoltre lo studio è munito di un’apparecchiatura TC (Tomografia computerizzata) volumetrica con tecnologia CONE BEAM (CBCT) che permette di analizzare le strutture anatomiche nei tre piani dello spazio invece che bidimensionalmente (come nelle ortopantomografie). Questa tecnologia permette l’acquisizione di immagini estremamente accurate con una esposizione ai Raggi X nettamente inferiore rispetto ad una TC tradizionale. Da un punto di vista clinico l’acquisizione di queste immagini 3D si traduce in una riduzione al minimo della possibilità di errore nel piano di trattamento.
Pertanto nel caso di necessita di CBCT per motivi di implantologia, inclusioni dentarie, valutazione delle vie aeree ecc… il paziente la potrà eseguire direttamente e comodamente in studio.
Indagine Radiologica
3D
La
CBCT
nel nostro studio
Soluzioni protesiche immediate, stabili e durature
Chiamate in studio per prendere un appuntamento








